West LA Implants offers a 1-year warranty on all dental implants

Cosmetic Dentistry
West LA Implants, Los Angeles, CA
"Dr. Tony is a skilled and very knowledgeable dentist. He and his office staff are also extremely friendly, which makes them feel like family and West LA Implants feel like home. I had a crown put in by Dr. Tony that was done expertly and will be going back next week for my second cleaning with West LA Implants. I wouldn't consider going anywhere else!"
Client Patient Feedback
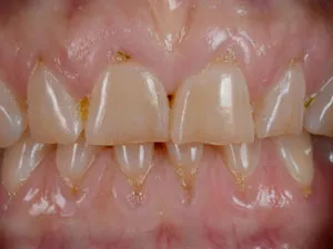
Smile Gallery
The Proof Is In Our patients
Before and After Photos for Cosmetic Dentistry at West LA Implants












Do you find it difficult to smile openly with others?
Are you embarrassed by the appearance of your teeth?
Find Confidence in Your Smile Once Again Through Personalized cosmetic Dentistry
Porcelain Veneers
Dental Crowns
Dental Bridges
Teeth Whitening
Inlays and Onlays
Orthodontics





Why Cosmetic Dentistry?
At West LA Implants we combine years of surgical experience and training with the latest dental technologies to help restore your smile and quality of life.
Request An AppointmentMeet Dr. Tony Barriere
Dr. Tony Barriere is a highly trained implant and cosmetic dentist. Having completed over 1000+ hours of continuing education training, he is passionate about providing the best treatment and care for his patients using the latest techniques and top-of-the-line materials.
Free Consultation (310) 481-0111
Find out if you are a good candidate for Veneers
Schedule A Free ConsulationDr. Barriere
Implant and Cosmetic DentistDr. Tony Barriere is passionate about providing the best treatment and care for his patients using the latest techniques and top-of-the-line materials. Dr. Barriere invites you to come experience the West LA Implants difference and looks forward to providing you with first-class dental care.Joanna C.
Treatment Plan Coordinator & Dental AssitantI was a dental assistant for 5 years and then later transitioned into Patient/Insurance Coordinator. I assist both front and back office as needed. Seeing the patient's smile is my motivation.Veronica V.
Office ManagerBefore dentistry, I was the Surgical Coordinator and Operatory Materials Manager at an outpatient surgical center for 19 years. My years connecting to patients from all walks of life has assisted me to develop people skills that I now use in my adventures with dental office management.
Tielar A.
Dental AssistantI've been a dental assistant since 2019. The way dental technology is advancing creates excitement for both patients and myself. My favorite aspect about working in dentistry is having the satisfaction of knowing I made a difference in someone’s smile.Delia E.
Registered Dental Assistant & Back Office ManagerI have been in the dental field since 2011 as a Registered Dental Assistant. I love learning new dental methods and how we can help the patient feel most comfortable. The best part of dentistry is seeing patient satisfaction after their appointments.Jacob R.
HygienistBio Coming Soon.

We accept almost all insurance companies
Frequently Asked Questions
Call Us (424) 722-8567What is a Dental Implant?
A dental implant is made up of three parts: a titanium or ceramic post, an abutment, and a restoration. Built to function like natural tooth roots, dental implants provide bone support and a stable foundation for a single dental crown, a dental bridge, a denture, or a full arch prosthesis.
What makes dental implants "The Gold Standard"?
Dental implants are the only permanent tooth replacement option, and they’re designed to last for decades. Because they are surgically inserted into the jawbone, they provide health and functional benefits comparable to natural teeth.
What is the success rate of dental implants?
Dental implants have achieved a consistently high success rate (over 95%) since their introduction decades ago. Greater success is achieved through a combination of surgical technology, high-quality materials, clinical experience, and long-term maintenance.
Who is a candidate for dental implants?
Many patients are candidates for dental implants already or can qualify after receiving preparatory treatments like bone grafting and tooth extractions. Candidacy is more accurately determined after comprehensive consultation and evaluation with an implant dentist.
How much does treatment cost?
The cost of dental implants is based on many factors, including how many teeth are missing and for how long, the types of materials used, and what additional procedures are needed. Our team can help you apply for dental financing and will file insurance claims on your behalf to help you afford treatment.
Will surgery be painful?
Dental implant surgery is completed while you are under sedation. You will feel no pain, and you may even sleep lightly through your procedure! Most patients have no memory of their appointment or the procedure.
How long can I expect dental implants to last?
Dental implants are designed to last for decades, and have the potential to last for the rest of your life! Surgical technology and clinical experience, along with healthy habits, ultimately affect the longevity of your implants. Choosing an experienced implant team like ours at West LA Implants provides more precise and accurate surgery that better guarantees the long-term success of your treatment.

(85 Reviews)













(75 Reviews)














