west la implants logo for site

Implant Supported Dentures

West LA Implants, Los Angeles, CA

Stabilize Ill-Fitting Dentures
Experience a life of health, function, and confidence with first-class dental care utilizing state-of-the-art technologies and high-quality materials.

“I actually look forward in going to the dentist because of this team! Dr B is comprehensive & pragmatic in his medical approach. The hygienist is the most gentle & proficient on the west side. Lastly, the front desk is incredibly organized, compassionate and professional. Dont miss out on this experience of your dental health!”

Annie
Client Patient Feedback

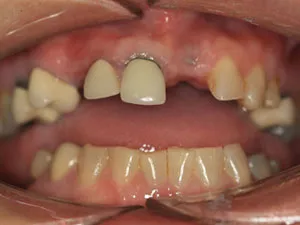
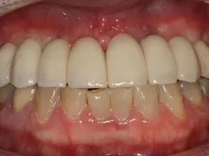
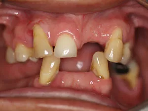
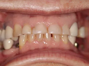
Smile Gallery

The Proof Is In Our patients
Before and After Photos for Dental Implants at West LA Implants

My zen spot. Yes you read that right! Super chill people that allow me to feel comfortable as they drill away. I've had big jobs done and simple cleanings, all of which were great. I've received many compliments on my teeth and highly credit these folks for helping me up keep my mouth. Oral health is one of the most important especially when heart issues run in the family.

All I can say is that it doesn't get better than him!!! Everyone in that office is spectacular. My teeth has been so problematic in the past. Lets just say I have the 6 million dollar mouth. Staff are so thorough and caring. He has been doing and will continue to do my implants. I will NEVER go anywhere else as long as he is practicing. Thank you West LA Implants for being the best there is.

Implant Supported Dentures

Are you struggling to live a healthy and happy life due to numerous missing teeth or loose dentures?

Find support with Dental Implants

Regain your oral and overall health with strong teeth

No more dentures becoming loose or falling out

No need for denture adhesives again

The only way to mitigate bone loss from missing teeth is through a bone grafting procedure and by providing new, healthy jawbone stimulation with dental implants.

Look and feel more confident with implant-supported dentures.
Conventional Dentures vs Implant Supported Dentures

At West LA Implants we combine years of surgical experience and training with the latest dental technologies to restore your smile and quality of life with a secure alternative to conventional dentures.

Traditional Dentures

  • Removable
  • Last 5+ Years
  • Eventually requires adhesives
  • Allow bone recession
  • Limit Food Choices

Implant Supported Dentures

  • Removable or Fixed
  • Last 10+ Years
  • Secured by 2+ implants
  • Limit bone recession
  • Expand Food Choices

Find out if you are a candidate for Implant Supported Dentures today!

Schedule A Free Consulation

If a material fails within the first year after your implant, we will cover it 100% with no questions asked.

MEET DR. TONY BARRIERE

Implant and Cosmetic Dentist Serving Los Angeles, CA

An AACD Accredited Dentist

West LA Implants is led by Dr. Barriere, a member of The American Academy of Cosmetic Dentistry, the American Academy of Implant Dentistry, and the ADA.

Education

Dr. Tony Barriere completed his dental training at The Ohio State University College of Dentistry and completed an optional yearlong surgical residency through NYU Langone Hospital. 

First Class Dental Care

Dr. Tony Barriere is passionate about providing the best treatment and care for his patients using the latest techniques and top-of-the-line materials. He is also trained with the Yomi Robot, which assists in performing dental implant surgery.

Experienced & Reputable

Dr. Barriere is one of the most experienced implant dentists in Los Angeles, having placed more than 5,000 sets of dental implants. 

Book An AppointmentBook An Appointment
I couldn’t be happier with my experience in West LA implants, the office is very nice, the staff is great specially Veronica who took the time to answer all my questions at any time, Dr Barriere is an excellent professional, you can really tell he loves his job and he does it really great, he is kind, patient and he always made me feel comfortable, and the treatment I received is top quality. I highly recommend them!


Excellent office and treatment, the entire experience was very positive. I always felt cared for, all my questions were answered, and everything handled professionally. Dr. Barriere was kind and took the time to make sure I always felt comfortable and had all the information I needed. A beautiful office with massaging dental chairs, along with mirroring TVs, so you can watch whatever you like during a cleaning or a procedure. Over all my experience has been wonderful with Dr. Barriere and his staff. Highly recommend!

West LA Implants
offers a 1-year warranty on all dental implants

West LA Implants provides more than dental care

West LA Implants offers the newest, highest-end technology in our Los Angeles office, and Dr. Barriere is committed to continuing his education. That’s why he completed more than 300 hours of continuing education in 2021, on his mission to never stop learning.

Get A Free Consulation
Meet Our Excellent Dental Team
  • Dr. Barriere

    Implant and Cosmetic Dentist
    Dr. Tony Barriere is passionate about providing the best treatment and care for his patients using the latest techniques and top-of-the-line materials. Dr. Barriere invites you to come experience the West LA Implants difference and looks forward to providing you with first-class dental care.
  • Joanna C.

    Treatment Plan Coordinator & Dental Assitant
    I was a dental assistant for 5 years and then later transitioned into Patient/Insurance Coordinator. I assist both front and back office as needed. Seeing the patient's smile is my motivation.
  • Veronica V.

    Office Manager
    Before dentistry, I was the Surgical Coordinator and Operatory Materials Manager at an outpatient surgical center for 19 years. My years connecting to patients from all walks of life has assisted me to develop people skills that I now use in my adventures with dental office management.
  • Tielar A.

    Dental Assistant
    I've been a dental assistant since 2019. The way dental technology is advancing creates excitement for both patients and myself. My favorite aspect about working in dentistry is having the satisfaction of knowing I made a difference in someone’s smile.
  • Delia E.

    Registered Dental Assistant & Back Office Manager
    I have been in the dental field since 2011 as a Registered Dental Assistant. I love learning new dental methods and how we can help the patient feel most comfortable. The best part of dentistry is seeing patient satisfaction after their appointments.
  • Jacob R.

    Hygienist
    Bio Coming Soon.

We accept almost all insurance companies

Please contact us immediately to verify your insurance coverage. 
Call Us (424) 722-8567

Frequently Asked Questions

Free Consultation (424) 722-8567
Free Consultation (424) 722-8567
West LA Implants
Overall Rating 4.5
(85 Reviews)
"I love their hospitality and amazing service :) Everyone in the office is really down to earth and any work you need done on your mouth --they are super transparent with everything!"
I have been coming to West LA Implants for years and received nothing but outstanding care. Prices are very reasonable do not be intimidated with the Brentwood address Dr Barriere accepts low monthly payments
Good service They take care of you, clean place, not expensive. I have been going at this place for two years. They also have payment plans, and the place is clean and professional. They also do robartic implant.
Dr. Barriere and his staff are amazing. They make coming to the dentist a breeze and we always feel welcome. He has gone out of his way to make sure my boyfriend and I receive the best care, and got my teeth whitening too! Thanks for everything!
The first time I came here Dr Torabi was my dentist. Whom I also raved about in a previous yelp review . I was nervous to come back bc he is no longer there and is now taken over by Dr Barrier. Dr Torabi is his mentor. It seems he did a good job mentoring him bc I am so satisfied with his professionalism and utmost care. The same care and service I received under Dr Torabi. The front desk crew are also very pleasant and friendly. They also have a discount program for those who don't have insurance, like me. You pay a certain amount and you get cleaning services, percent discounts on your treatment and other things. Worth it if you have expensive treatments and no insurance. I highly recommend this dentist!
I started out with Dr Torabi several years ago and stayed on when Dr Barriere took over the practice. I am pleased I decided to stay. I have had several types of things done including implants, crowns, veneers and cleanings of course. My husband has had dentures replaced. The staff is supportive and helpful, and always trying to make things run smoothly. Dr. Barriere is gentle and is aware you want to avoid pain! He makes sure you are happy with the appearance of the work. I never feel rushed. If there is an emergency they will figure out how to get you in. Prices are fair and reasonable. If you are looking for a new dental office, you can't go wrong with this choice.
Excellent office and treatment, the entire experience was very positive. I always felt cared for, all my questions were answered, and everything handled professionally. Dr. Barriere was kind and took the time to make sure I always felt comfortable and had all the information I needed. A beautiful office with massaging dental chairs, along with mirroring TVs, so you can watch whatever you like during a cleaning or a procedure. Over all my experience has been wonderful with Dr. Barriere and his staff. Highly recommend!
Hi Everyone, The Hallelujahman! (Brian) here, I wanted to let all know that my visit to West LA Implants was a great visit. I met some nice people in the waiting area where they were kind enough to serve free coffee - nice! The wait was not so bad and the TV during the wait time helped. The service was with a smile and then they looked at my mouth - they told me my insurance covered it and my smile can be restored to my natural gleam (my own words). Thanks, West LA Implants - keep us smiling... :) :)
My zen spot. Yes you read that right! Super chill people that allow me to feel comfortable as they drill away. I've had big jobs done and simple cleanings, all of which were great. I've received many compliments on my teeth and highly credit these folks for helping me up keep my mouth. Oral health is one of the most important especially when heart issues run in the family.
Amazing staff & great doctor. Dr. Barriere really took his time to explain everything step by step & is very knowledgeable. The staff made me feel so comfortable. Anisa is the hygienist she was wonderful very thorough with the cleaning and the chair massages! Definitely coming back for all my dental work! Thanks again Dr. Barriere & staff for all your hard work!
What a great office - I needed to take care of a cavity via simple filling at a last minute. The front desk made sure they could squeeze me in on the same day, within just one hour of my call! They also were able to have me for cleaning before the procedure. From coming in and having assistance with filling out paperwork (they have a wonderful receptionist/front office assistant, she was so helpful!), being treated by a very nice and friendly hygienist, to having Dr. Tony Barriere treat my tooth and have this filling done fast and with quality (plus the anesthetic was done well, I wasn't numb for too long after the procedure, but did not feel anything during the procedure). They even gave me some time in between the hygienist and my tooth treatment when I needed to take a work call! I will definitely return and have this dentist as my new regular dentist on the westside! (and their hygienist too!) . It is so rare to see such great customer care these days and I value this a lot.
Let's face it - nobody really likes going to the dentist, but the whole team of West LA Implants makes this experience very pleasurable. Their office must be such a great place to work because everyone is so friendly! They truly feel like a team and make you feel very special by going above and beyond. By saying that, they don't push you for any more procedures, but really try to address your concerns and deal with them in the best possible way. I had an annual checkup and teeth cleaning appointment with Anisa Seysan, who is a top-notch dental hygienist with a wonderful personality and excellent bedside manners. She's very thorough and caring. Exceptional dental experience!
West LA Implants
Overall Rating 4.9
(75 Reviews)
From the moment you walk into the office to the moment you leave, West LA Implants provides a professional environment with welcoming and warm staff in a calm and peaceful office. This efficient dental office always puts you first with a cleaning from a kind hygienist and a complete exam with a dentist that puts me at ease, allowing questions along the way. Thanks for a great experience. I'll be back again and again.
I recently had my wisdom teeth removed and the team at West LA Implants made me feel incredibly taken care of and assured! They were open to answering any questions I had regarding the procedure and post-operative care. While it was a daunting experience since I was getting them out at a later age, I felt extremely taken care of at the office due to the excellent service and obvious years of experience. As I continue healing post-surgery, the team has continued to encourage me to reach out for any worries or problems with emergency lines even when the office is closed for added accessibility.
My mother-in-law highly recommended WLA Implants, and thank goodness she did. Please do not let the “implants” name mislead you. Full service dental work. My crowns match perfectly and another dentist said it was very difficult for her to see the crowns. The work is at the highest level. The receptionist is caring and takes interest in helping people! The staff also was looking out for me every step of the way. Super highly, double recommended!!!
I couldn’t be happier with my experience in West LA implants, the office is very nice, the staff is great specially Veronica who took the time to answer all my questions at any time, Dr Barriere is an excellent professional, you can really tell he loves his job and he does it really great, he is kind, patient and he always made me feel comfortable, and the treatment I received is top quality. I highly recommend them!
Dr. Tony is a skilled and very knowledgeable dentist. He and his office staff are also extremely friendly, which makes them feel like family and West LA Implants feel like home. I had a crown put in by Dr. Tony that was done expertly and will be going back next week for my second cleaning with West LA Implants. I wouldn't consider going anywhere else!
I actually look forward in going to the dentist because of this team! Dr B is comprehensive & pragmatic in his medical approach. The hygienist is the most gentle & proficient on the west side. Lastly, the front desk is incredibly organized, compassionate and professional. Dont miss out on this experience for your dental health!
Excellent office and treatment, the entire experience was very positive. I always felt cared for, all my questions were answered, and everything handled professionally. Dr. Barriere was kind and took the time to make sure I always felt comfortable and had all the information I needed. A beautiful office with massaging dental chairs, along with mirroring TVs, so you can watch whatever you like during a cleaning or a procedure. Over all my experience has been wonderful with Dr. Barriere and his staff. Highly recommend!
Let's face it - nobody really likes going to the dentist, but the whole team of West LA Implants makes this experience very pleasurable. Their office must be such a great place to work because everyone is so friendly! They truly feel like a team and make you feel very special by going above and beyond. By saying that, they don't push you for any more procedures, but really try to address your concerns and deal with them in the best possible way. I had an annual checkup and teeth cleaning appointment with Anisa Seysan, who is a top-notch dental hygienist with a wonderful personality and excellent bedside manners. She's very thorough and caring. Exceptional dental experience!
I had numerous teeth crack or fall out over the course of the pandemic. Self conscious, humiliated, embarrassment is what kept me from facing my issues....it's gotten so bad so I finally made an appointment and just left the office. This dentist, his associates, EVERYONE was so kind, patient, and understanding. It made everything so much better. Now I just need the funds to be able to get my mouth back in shape and smiling again. Highly recommend this place!!!
The receptionist was great , she answered everything with confidence and professionalism.Then I met the doctor and the whole experience has made me feel at home. I would recommend them to all.
I liked the pleasant and friendly atmosphere of the clinic because I feel anxious when visiting the dentist. They did a very good job cleaning my teeth and installing crowns. Thank you!
Extremely friendly staff! It feels like they go out of their way to give you the best experience and make sure you leave with a more confident smile. Really glad I was able to find them.
I went in for a consultation and I was thoroughly impressed with their facility. Everyone was patient, friendly and welcoming , but most importantly they addressed every concern I had. I will definitely recommend West LA Implants.